Blood Cancer - NLP-HL
Copyright © 2001, 20222 www.curtis.anderson.name All rights reserved.

Hodgkin-Lymphoma Stage IIIA
Sep. 2019 Heart CT Scan - 09-27-2019 @ JW
Nov. 2019 Lungs CT Scan - 11-01-1019 @JR_HW
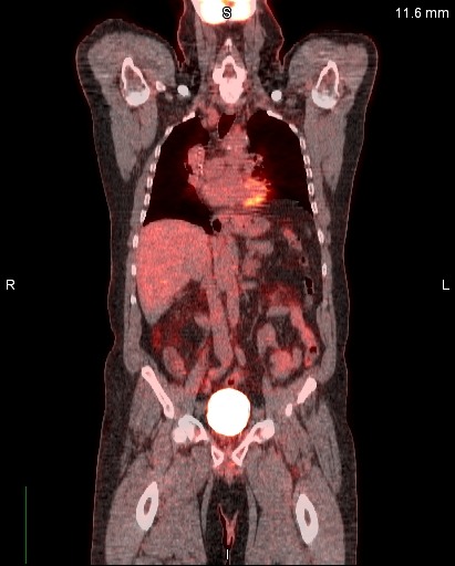
Dec. 2019 Lymph PET/CT Scan - 12-11-2019 @ JW_HW
Dec. 2019 X-Ray of Stomach 0 12030-2019 P.1st
Jan. 2020 Biopsy Of Lymph Node - 01-02-2020 @ St.F
Jan. 2020 Biopsy Of Hip Bone Marrow
Jan. 2020 IV Port Surgery
Feb. 2020 Infusion Treatments
Personal Report & Care Plan - Click Here
Copyright © 2001, 2022 www.curtis.anderson.name All rights reserved.
Infusions - Click Here
Four Infusions, one per week.
All four weeks of February,
2020
NOTE COVID-19 Outbreak and Lockdown
Mid March 2020

* * *
PT SCAN HISTORY
12-11-2019
4/2/2020 - 9/23/2020
(Treatment Working)
* * *
Follow-UPS
6/18/2021
5/18/2022
* * *
DETAILS
Diagnosed in October, 2018 - Malignant Melanoma
Skin Cancer
Diagnosed in January 2020 - Lymphoma Blood Cancer
2020
I have been diagnosed, and now being treated for NLPHL.
At age 72, I am currently not on any
medications.
I have no symptoms of anything.
I average two head colds a year, while my last flu
dates back to 1980.
I never take any over-the-counter medications.
I have had five hernia surgeries 2001-2016.
Background: Back in 2018 on a routine
visit,
melanoma
skin cancer was first diagnosed.
It was surgically removed, then later
determined to be of no future threat.
Why? It was
surgically removed before spreading.
That is, early detection and treatment of
melanoma cancer - Stage 1 in 2018.


A large area of skin around the cancer spot,
including the
cancer spot was removed.


Then...
In 2019, after requesting a
heart CT scan
for the purpose of detecting any early heart
disease.
The heart was fine, but this showed up !
Blood Cancer - NLPHL - Stage 3



Rituximab ( Rituxan )
This modern day drug was recommended.
This will slow the cancer with no long term affects.
Chemo Treatments may be required, or recommended
years from now,
allowing long term affects
to be delayed and or not needed at all.

Interesting Note: Believed to be genetic related.
My sister Laura was treated for lymphoma 9 years ago.
My father was diagnosed with rheumatoid arthritis in 1950
and lived with the disease most of his adult life.
This drug was approved in 1997, too late for my fathers care.
It is now recommended for NLPHL

Because of having a case of melanoma cancer in
back 2018,
it was feared that melanoma cancer had spread into my lymph nodes
and bone marrow and other organs. It was nowhere to be found.
This was a new and different cancer only found in three lymph nodes.
My second serious close call to fatal Cancer in
two years.
My Personal Diagnostics & Treatment
Copyright © 2001, 2020
www.curtis.anderson.name All
rights reserved.
2019-2020
Copyright © 2001, 2020 www.curtis.anderson.name All rights reserved.
Scans
Body_PT_(CT)_Scan Pre-Treatment CT Scan
Pre / Post Reports
Body_PT (CT)_Scan_Report
(Pre Infusion)
January 29, 2020
Infusions
Four Infusions, one per week, all four weeks of February,
2020
Body_PT_(CT)_Scan_Report
(Post Infusion)
April 1, 2020
Copyright © 2001, 2020 www.curtis.anderson.name All rights reserved.
#2- Body_PT_(CT)_Scan
(Post Infusion)
Sep. 23, 2020

Knee effusion, or water on the knee, occurs when excess fluid accumulates
in or around the knee joint. There are many common causes for the swelling,
including arthritis and injury to the ligaments or meniscus (cartilage in the knee).
UK Rituximab Action Treatment Notes
TOTAL SCANS
After Heart & Lung Scans - Dr. D
Before Lymph Bio. Surgery - Dr. G

2021 SCANS
6/18/2021
NOTE: PET Scans - Radioactive Nuclear IV
CT - A Radiation Scan w/wo Solutions
PET/CT Scan - Both

ie: no cancer, no tumor, 1 growing lymph near an artery





2022 SCANS
/5/18/2022
NOTE: PET Scans - Radioactive Nuclear IV
CT - A Radiation Scan w/wo Solutions
PET/CT Scan - Both


* * *
CT SCAN
5/18/2022

PT SCAN
5/18/2022




2023 CT SCAN - 8-22-2023
(Last CT 01-30-2020 @JR-HW)
(First PT 04-02-2020 @ JR-HW)
(Last PT 05-18-2022 @JR-HW)



2023 CT SCAN RESULTS - 8-22-2023
MORE LATER
Pending
Pending
Pending
Copyright © 2001, 2020 www.curtis.anderson.name All rights reserved.
.